Hace algunos años, muchos evitaban ir al dentista debido al miedo que sentían al tratamiento que el profesional pudiera realizar. No obstante, este temor se ha convertido en algo del pasado gracias a los avances tecnológicos en la odontología y la amena experiencia que garantiza la Clínica MG Dental & Estética Facial (@clinicamgdental en Instagram).
Bajo el objetivo de convertir la visita al dentista en un momento de autocuidado y tranquilidad, estos profesionales proveen tratamientos dentales mínimamente invasivos, con las técnicas más avanzadas, acompañados de un trato cordial y personalizado. Entre las mejores restauraciones estéticas, destacan las microcarillas dentales por recuperar cada pieza dental sin cirugía ni ortodoncia.
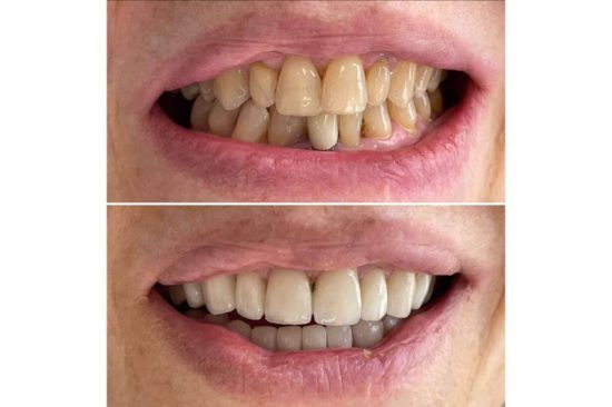
Más información sobre las microcarillas dentales
Los tratamientos estéticos de restauración dental con cerámica se distinguen por ser poco invasivos, ya que procuran mantener la totalidad de la estructura dental, recuperando la forma y el aspecto de los dientes a partir de la adhesión superficial de láminas de cerámica o porcelana.
En el caso de las microcarillas dentales, también conocidas como carillas sin tallado, las láminas que se colocan son extremadamente finas, con un grosor aproximado de 0,2 o 0,3 milímetros.
Según la pieza dental a restaurar, cada lámina se prepara a medida de la boca y dentadura del paciente, con el fin de mejorar el aspecto ante distintas alteraciones estéticas. Dado que el tratamiento no requiere tallar la pieza, la precisión del diámetro de la microcarilla debe ser exacta, para ajustarse al diente sin dejar ningún rastro visible, afirma la Dra. Marta Gimenez (@martaagimenez en Instagram).
Después de una evaluación y análisis integral de la dentadura, encías, boca y labios del paciente, el odontólogo toma las medidas de las piezas dentales mediante impresiones, para fabricar en el laboratorio las láminas.
Las microcarillas dentales son adheridas en la parte frontal o cara vestibular de los dientes, con un cemento o una resina especial. Además, es una intervención que no requiere anestesia y se realiza en cuestión de minutos.
Ventajas de las microcarillas dentales
Este tratamiento de restauración estética es ideal para recuperar la forma y el color de los dientes. En este sentido, los odontólogos lo recomiendan en aquellos casos en los que se busca corregir pequeños defectos dentales, tales como grietas, fracturas o desgastes. También se utiliza para mejorar dientes delanteros con antiguas restauraciones de composite, así como también para el cierre de diastemas, en casos de dientes separados. Además, es ideal para recuperar el color de los dientes, principalmente en los que presentan tinciones de tetraciclinas.
En relación con el objetivo de la Clínica MG Dental & Estética Facial, las microcarillas son un tratamiento efectivo que se lleva a cabo en poco tiempo, sin dolor. Con el objetivo de que todos sus pacientes vivan una buena experiencia, recomiendan la restauración estética dental con microcarillas, como técnica duradera, no invasiva y con resultados visibles al instante.
