Las ventajas de un implante dental en DeltaDent

Remitido

Sufrir la pérdida de una pieza dental puede generar distintos problemas.

En primer lugar, se pueden ver afectadas tanto la masticación como el habla. Además, la pérdida de piezas dentales ocasiona cargas excesivas, roturas y desplazamientos en los dientes que están sanos.

Por otro lado, la dentadura determina el aspecto del rostro y su estado influye en el ánimo y la autoestima de una persona.

Ahora bien, para solucionar la falta de piezas en una dentadura es posible recurrir a un tratamiento de implante dental como los que ofrece la clínica DeltaDent en Madrid. Este centro odontológico ubicado en Chamartín cuenta con distintas soluciones que se adaptan a las necesidades de cada paciente.

Tratamientos de implante dental en la clínica DeltaDent

Los especialistas de este centro odontológico ofrecen distintas soluciones para que todos sus pacientes puedan disfrutar de una dentadura sin piezas faltantes. Por ejemplo, para reemplazar uno o más dientes es posible acceder a un tratamiento de restauración unitaria. Esto también contribuye a conservar los otros dientes sanos.

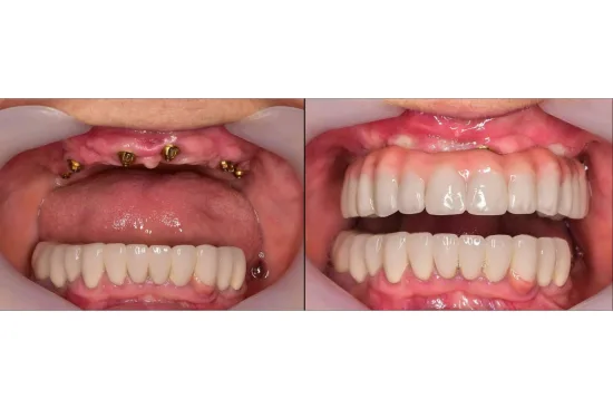
Por otro lado, con un tratamiento de puente fijo o dentadura es posible reemplazar todos los dientes superiores o inferiores. En estos casos, se realiza una fijación de la dentadura que ofrece una gran firmeza.

En pacientes que necesitan remplazar solo los dientes inferiores es posible realizar un tratamiento de sobredentadura. Esto se usa para estabilizar la prótesis en la boca. Además, todos los tratamientos de implante sirven para prevenir la pérdida ósea.

Tratamientos de implantes dentales

En primer lugar, los profesionales de DeltaDent realizan un diagnóstico que incluye pruebas radiológicas para poder diseñar un tratamiento personalizado. Una vez que el plan ha sido aceptado por el paciente, se procede a efectuar una intervención quirúrgica que resulta sencilla e indolora. Con respecto a esto, el posoperatorio requiere de cuidados mínimos.

A su vez, la cicatrización u osteointegración del implante suele ser rápida, por lo que después de alrededor de 3 meses el paciente está listo para la carga de la prótesis. Para ello, se toman impresiones y se realizan coronas a medida. Una vez que el tratamiento ha finalizado, el paciente debe seguir un protocolo de higiene para asegurar la durabilidad de la nueva pieza dental y mejorar su salud bucal.

Por otra parte, a día de hoy, existen distintas soluciones temporales para que el paciente pueda contar con una dentadura completa mientras avanza el proceso de cicatrización. Una de estas alternativas son los implantes de carga inmediata. A su vez, las personas que han perdido todos o casi todos los dientes pueden recurrir al tratamiento All-On-4. En estos casos, los dientes temporales se colocan sin injerto óseo en solo uno o dos días.

A través de DeltaDent es posible acceder a distintos tratamientos de implante dental para disfrutar de una dentadura sana y plena.

Las + leídas