Día Mundial de la Tuberculosis

Redacción

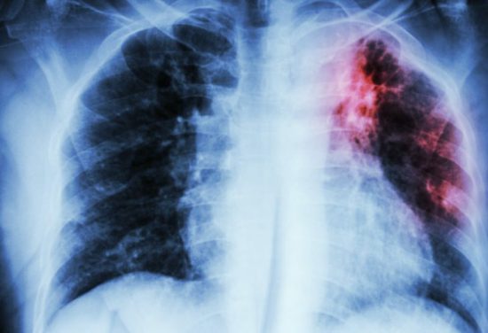
El 24 de marzo se celebra el Día Mundial de la Tuberculosis para conmemorar el descubrimiento en 1882 de la bacteria responsable de la enfermedad: mycobacterium tuberculosis. Un 24 de marzo de 1882 Robert Koch anunció al mundo este importante descubrimiento.

Las + leídas