Curiosas
Actualidad
Economía
Redes Sociales
Social
Famosos
Ocio
Deportes
Motor
Más…
Buscar
Lo que importa no es el ‘qué’, sino el ‘cómo’
Curiosas
Actualidad
Economía
Redes Sociales
Social
Famosos
Ocio
Deportes
Motor
Más...
Belleza
Cartas al director
Ciencia
El día mundial del...
Gastronomía
Horóscopo
La cuenta por favor
Libros
Listas
Música
Nuestra serie recomendada
Ocio
Política
Pueblos
Personas
Quiosco rosa
Salud
Santoral
Sucesos
Tv y series
Viajes
Cultura
Videojuegos
Buscar
ÚLTIMA HORA
Patones
NiCE revela las tendencias 2026; experiencia del cliente humanizada con IA
Sánchez promete a las familias de víctimas de Adamuz que llegará «hasta el final» y hará las «mejoras» necesarias
Real Madrid y Atlético se enfrentarán a Benfica y Brujas en los ‘playoffs’ de la Champions
Data Center Market celebra los DCM Awards 2026, con un nuevo récord de asistencia
abril 28, 2025
Muere un joven de 20 años acuclillado en Madrid
Redacción
abril 28, 2025
Sorprender con una tarjeta regalo en Madrid y crear recuerdos inolvidables con The Nook
Remitido
abril 28, 2025
Moda sostenible que ‘respira’; Greener convierte su ropa en purificadores urbanos
Remitido
abril 28, 2025
Davante lanza ‘Davante Emprende’ para impulsar el espíritu emprendedor y la empleabilidad en España
Remitido
abril 28, 2025
‘Meritxell, la mujer fatal que lo cambió todo’, un retrato provocador del poder femenino
Remitido
abril 28, 2025
Grifoxpert se distingue por su propuesta digital en grifería de diseño en España
Remitido
abril 28, 2025
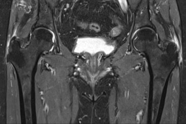
Trocanteritis; la causa de dolor de cadera que pasa desapercibida y cómo tratarla de forma definitiva
Remitido
abril 28, 2025
Descubrir, jugar y vivir Altaona, el innovador resort de la Costa Cálida
Remitido
abril 28, 2025
Oportunidad exclusiva, trasplante capilar con técnica FUE Zafiro HD y folículos ilimitados
Remitido
abril 28, 2025
Moda infantil de ceremonia con historia; la propuesta de Muñeca Rubia
Remitido
abril 28, 2025
Consulta Despertares destaca la importancia de la terapia psicológica para una vida más equilibrada
Remitido
abril 28, 2025
Ibernave guía el proceso para comprar nave industrial en Madrid con criterios técnicos y claros
Remitido
abril 28, 2025
El mejor regalo para el día de la madre
Remitido
abril 28, 2025
Universal Arts School lanza máster con Unreal Engine en su escuela de animación y videojuegos en Valencia
Remitido
abril 28, 2025
Trato personal y acompañamiento; la propuesta humana de Valentasa Consultores en el mercado inmobiliario
Remitido
abril 28, 2025
El modelo Senior de SaveFamily refuerza el vínculo entre mayores y familias con tecnología avanzada
Remitido
abril 28, 2025
Lo que hoy necesitan los directores comerciales; seguimiento, datos y herramientas pensadas para vender
Remitido
abril 28, 2025
Página
1
Página
2
Página
3
Página
4
Página
5
Página
6
Buscar