Curiosas
Actualidad
Economía
Redes Sociales
Social
Famosos
Ocio
Deportes
Motor
Más…
Buscar
Lo que importa no es el ‘qué’, sino el ‘cómo’
Curiosas
Actualidad
Economía
Redes Sociales
Social
Famosos
Ocio
Deportes
Motor
Más...
Belleza
Cartas al director
Ciencia
El día mundial del...
Gastronomía
Horóscopo
La cuenta por favor
Libros
Listas
Música
Nuestra serie recomendada
Ocio
Política
Pueblos
Personas
Quiosco rosa
Salud
Santoral
Sucesos
Tv y series
Viajes
Cultura
Videojuegos
Buscar
ÚLTIMA HORA
Patones
APM rechaza los «insultos» en redes sociales de Oscar Puente contra periodistas
‘Amarga Navidad’, estreno destacado de la semana
Un agente de IA provoca una brecha de seguridad en Meta al mostrar datos privados en una acción no solicitada
Sánchez apela a la «responsabilidad» de todos los grupos para aprobar las medidas urgentes por la guerra de Irán
septiembre 20, 2022
Las 7 mejores estrategias de Posicionamiento SEO según DIGESIT
Remitido
septiembre 20, 2022
Cómprale a China permite adquirir juguetes de Navidad al por mayor
Remitido
septiembre 20, 2022
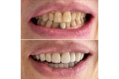
Todo lo que se debe saber acerca de las microcarillas dentales, por Clínica MG Dental & Estética Facial
Remitido
septiembre 20, 2022
El espíritu visionario de Honduras, representado por Camilo Atala Faraj
Remitido
septiembre 20, 2022
El gran negocio de la venta de accesorios para dispositivos móviles
Remitido
septiembre 20, 2022
¿Qué es la Inteligencia artificial en España?, ¿una promesa o una realidad?
Remitido
septiembre 20, 2022
Ayuda Universitaria apoya durante la realización de una tesis doctoral
Remitido
septiembre 20, 2022
¿Cuáles son los beneficios de las infusiones naturales y las tisanas?
Remitido
septiembre 20, 2022
Página
1
…
Página
4
Página
5
Página
6
Buscar