Curiosas
Actualidad
Economía
Redes Sociales
Social
Famosos
Ocio
Deportes
Motor
Más…
Buscar
Lo que importa no es el ‘qué’, sino el ‘cómo’
Curiosas
Actualidad
Economía
Redes Sociales
Social
Famosos
Ocio
Deportes
Motor
Más...
Belleza
Cartas al director
Ciencia
El día mundial del...
Gastronomía
Horóscopo
La cuenta por favor
Libros
Listas
Música
Nuestra serie recomendada
Ocio
Política
Pueblos
Personas
Quiosco rosa
Salud
Santoral
Sucesos
Tv y series
Viajes
Cultura
Videojuegos
Buscar
ÚLTIMA HORA
Patones
La personalización de equipaciones rally gana protagonismo con la propuesta de ADHESIVOSEMBARRADOS
Perú más allá del ceviche, un viaje gastronómico por sus territorios en Pucará Orígenes
Interdomicilio revalida el título de «Mejor Servicio del Año» por segundo año consecutivo
Tomás Elías González Benítez analiza cómo la tecnología redefine el deporte global hacia 2026
agosto 24, 2022
Caminar al menos 10 minutos al día alarga la vida con 85 años o más
Redacción
agosto 24, 2022
Quince comunidades, en aviso por calor, lluvia, tormenta o mala mar
Redacción
agosto 24, 2022
Los pantalones para mujer de tallas grandes de Corazón XL
Remitido
agosto 24, 2022
EI2VALUE se ha convertido en una de las mejores herramientas contra la inflación y uno de los líderes en ranking de inversión
Remitido
agosto 24, 2022
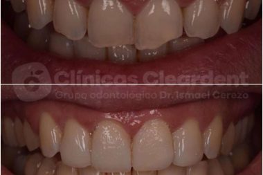
¿Cuál es la función de las carillas dentales? Las opciones que ofrece Cleardent
Remitido
agosto 24, 2022
¿Qué oportunidades ofrece Sportalis para encontrar trabajo en el sector deportivo?
Remitido
agosto 24, 2022
La Academia Hamburg permite sacar provecho al verano aprendiendo alemán
Remitido
agosto 24, 2022
Daniel Santiago, el psicólogo que da claves para cuidar la salud mental
Remitido
agosto 24, 2022
La proteína vegana desarrollada para conseguir el mejor aminograma posible sin productos de origen animal
Remitido
agosto 24, 2022
Emocosmética y la cosmética emocional, una tendencia en auge
Remitido
agosto 24, 2022
Conseguir las diferentes licencias de armas en España con las pruebas que realiza el Centro Médico Bravo
Remitido
agosto 24, 2022
Estudia Deporte facilita información para los que desean formarse en INEF
Remitido
agosto 24, 2022
CleanCarbon agiliza el proceso de conversión de residuos en energía sin emisiones, el cual es rentable y saludable para el planeta
Remitido
agosto 24, 2022
La cosmética personalizada de iMstant Cosmeceutics
Remitido
agosto 24, 2022
Txiki Bastida destaca como uno de los profesores de baile preferidos por los españoles
Remitido
agosto 24, 2022
¿Cómo acceder al Kit Digital?, por DigitAlvar
Remitido
agosto 24, 2022
Adquirir los utensilios de cocina necesarios para abrir un restaurante con TriunfaBurger
Remitido
agosto 24, 2022
Página
1
…
Página
4
Página
5
Página
6
Página
7
Buscar